03-3585-0081
WEB予約
無料メール相談
公式LINE
ホーム
治療メニュー
症例紹介
当院のご紹介
院長・スタッフ紹介
設備紹介
診療時間・アクセス
Menu
診療時間・アクセス
公式LINE
電話する
お問い合わせ
歯科治療例
医院案内
コンセプト・理念
エグゼクティブの方へ
モデル・芸能関係の方へ
アスリートの方へ
患者様へのおもてなし
院長・スタッフ紹介
院内紹介
設備紹介
院内技工
治療メニュー
インプラント
審美メニュー
-審美(エステティック)
-オールセラミック
-ホワイトニング
矯正歯科メニュー
-矯正歯科
-小児矯正
-成人矯正(ワイヤー矯正)
-マウスピース矯正
-部分矯正
歯周病
オーダーメイド歯科
噛み合わせ
予防歯科メニュー
-予防歯科
-歯科ドック
-歯石取り・クリーニング
痛みの少ないレーザー
虫歯
口腔外科
小児歯科
料金表メニュー
費用・料金表
詰め物・被せ物
矯正歯科
インプラント
ホワイトニング
治療例
治療例一覧
インプラント
矯正歯科
審美歯科
採用情報
Recruit
症例集
Case
院内ブログ
Blog
サイトマップ
院内ブログ
Blog
ホーム
>
院内ブログ
院内ブログ
カテゴリ|全て
ブログTOPへ戻る
歯科治療例
活動報告
今週のお花
設備・機材
審美歯科|歯科治療例
矯正歯科|歯科治療例
インプラント|歯科治療例
院内新聞
メディア出演・掲載
歯科衛生士の業務
歯科技工士の業務
感染予防対策【コロナ等】
コンシェルジュ日誌
2022.05.02
審美歯科|歯科治療例
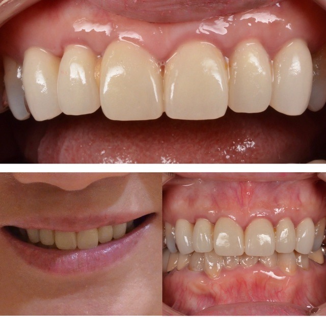
人生を変えた歯科治療。【かみ合わせ・セラミック治療例】50代女性 s621.2015122
術前・主訴 顎が痛い。詰め物が取れた。他院で治した前歯が長い気がする。 診断の結果 顎の痛みや詰め物が外れたのは、歯列の歪みや噛み合わせの深さが原因と思われます。また、前歯の長さは女性の平均値10.2mmのところ、11.0mm以上ありました…
続きを読む
2025.10.17
お知らせ
季節の変わり目にお口の管理 2025.10.17
【セレブに人気のセラミック治療】 皆様こんにちは。 コンシェルジュの早川です。 秋は気温の変化が大きく、朝晩の冷え込みで体調を崩しやすい季節です🍂 季節の変わり目は、実はお口の中のトラブルも増える時期です。 最近「歯ぐきがム…
続きを読む
2025.10.16
お知らせ
前歯の隙間を治したい 20代男性 2025.10.16
主訴・術前 前歯の隙間を治したい 術後の患者様の感想 長年の悩みであった前歯の隙間が、一瞬にしてとても綺麗になり感動しました。 周りからの反響も良く、もっと早く治療を受けていれば良かったと思いました。 同じような悩みをお持ちの方には、とても…
続きを読む
2025.10.10
お知らせ
秋はお口の乾燥に要注意!2025.10.10
【セレブに人気のセラミック治療】 皆様、こんにちは。 コンシェルジュの早川です。 ~秋はお口の乾燥に要注意!~ 秋になると、空気が乾燥してくるだけでなく、気温の低下とともに水分摂取量が減りがちになることで、「お口の乾燥(ドライマウス)」を感…
続きを読む
2025.10.10
お知らせ
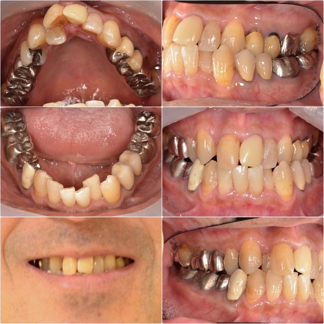
噛み合わせを治したい2025.10.10
主訴・術前 噛み合わせを治したい 術後の患者様の感想 嚙み合わせや顔の歪みが気になり治療を始めました。 こんなにきれいに仕上がり、コンプレックスが解消されるとは思いませんでした。ありがとうございました。 今後はメンテナンスを頑張りたいと思い…
続きを読む
2025.10.07
矯正歯科|歯科治療例
歯並びを治して歯を綺麗にしたい。【マウスピース矯正とセラミック治療例】40代男性 k1548.20191223
矯正歯科|治療例 主訴・術前 歯並びを治して歯を綺麗にしたい。 診断の結果 特に前歯に叢生が見受けられます。ワイヤー矯正であれば半年から一年で治療終了できそうですが、患者様のご要望でマウスピース治療となりました。また、前歯4本は色も濃くプラ…
続きを読む
1 / 163
1
2
3
4
5
...
10
20
30
...
次へ
»