03-3585-0081
WEB予約
無料メール相談
公式LINE
ホーム
治療メニュー
症例紹介
当院のご紹介
院長・スタッフ紹介
設備紹介
診療時間・アクセス
Menu
診療時間・アクセス
公式LINE
電話する
お問い合わせ
歯科治療例
医院案内
コンセプト・理念
エグゼクティブの方へ
モデル・芸能関係の方へ
アスリートの方へ
患者様へのおもてなし
院長・スタッフ紹介
院内紹介
設備紹介
院内技工
治療メニュー
インプラント
審美メニュー
-審美(エステティック)
-オールセラミック
-ホワイトニング
矯正歯科メニュー
-矯正歯科
-小児矯正
-成人矯正(ワイヤー矯正)
-マウスピース矯正
-部分矯正
歯周病
オーダーメイド歯科
噛み合わせ
予防歯科メニュー
-予防歯科
-歯科ドック
-歯石取り・クリーニング
痛みの少ないレーザー
虫歯
口腔外科
小児歯科
料金表メニュー
費用・料金表
詰め物・被せ物
矯正歯科
インプラント
ホワイトニング
治療例
治療例一覧
インプラント
矯正歯科
審美歯科
採用情報
Recruit
症例集
Case
院内ブログ
Blog
サイトマップ
お知らせ
Category
ホーム
>
お知らせ
カテゴリ|全て
ブログTOPへ戻る
歯科治療例
活動報告
今週のお花
設備・機材
審美歯科|歯科治療例
矯正歯科|歯科治療例
インプラント|歯科治療例
院内新聞
メディア出演・掲載
歯科衛生士の業務
歯科技工士の業務
感染予防対策【コロナ等】
コンシェルジュ日誌
2025.11.07
お知らせ
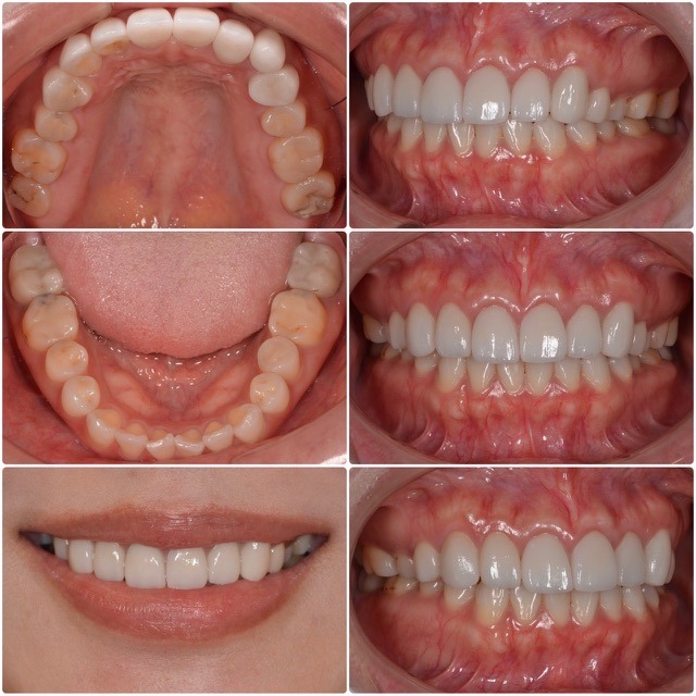
悪い所はすべて治したい2025.11.7
主訴・術前 悪い所はすべて治したい 術後の患者様の感想 悪い所はすべて治したくて伺いました。 他院で治療途中の箇所が何個かあり不安でしたが、先生やスタッフの方々がとても親身になってお話を聞いて下さり安心しました。 これからもメンテナンスでお…
続きを読む
2025.11.07
お知らせ
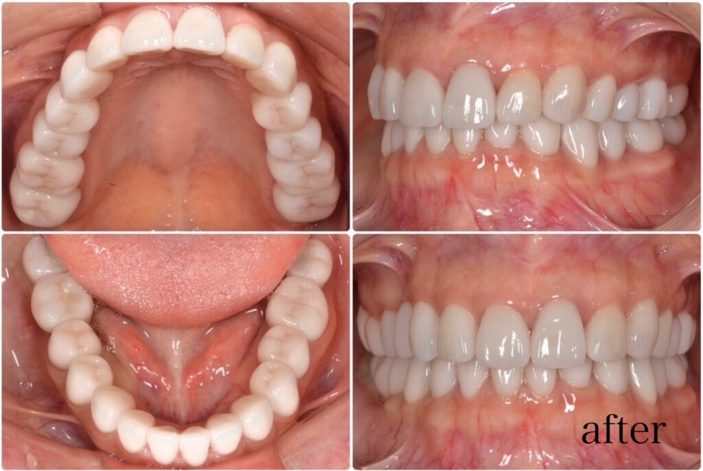
悪い所は全て治したい 60代女性 2025.11.7
主訴・術前 悪い所はすべて治したい 術後の患者様の感想 もともとセラミック治療をしたくてこちらに伺いましたが、 院内もとても綺麗でスタッフの方々や院長先生がとても気さくで 安心して治療を受けることができました。 セラミックもとても綺麗で満足…
続きを読む
2025.11.05
お知らせ
透明感ケア 2025.11.05
【セレブに好評のセラミック治療】 皆様こんにちは。 コンシェルジュの早川です。 本日は、 ~ホワイトニングで透明感ケア~についてです。 冬は空気が澄み、ファッションやメイクも落ち着いたトーンになる季節、そんな季節だからこそ、歯の白さが際立ち…
続きを読む
2025.10.31
お知らせ
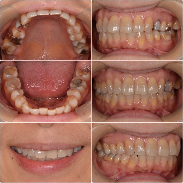
セラミックをやり直したい2025.10.31
主訴・術前 セラミックをやり直したい 術後の患者様の感想 他院で入れたセラミックをやり直したく、こちらに伺いました。 形や色など、思い描いていた通りの完璧な本歯に感動しました。 私のこだわりを一つ一つ丁寧に聞いて下さり、本当に感謝しています…
続きを読む
2025.10.30
お知らせ
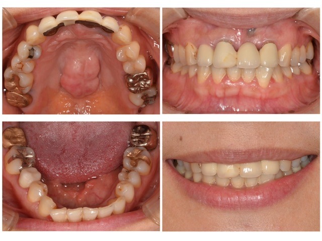
前歯に納得のいくセラミックを入れたい 50代女性 2025.10.30
主訴・術前 前歯に納得のいくセラミックを入れたい 術後の患者様の感想 自分の理想の歯があったので先生方にわかっていただけるか不安でしたが、審美的な面でもアドバイスを下さり納得のいくものができたのでとてもよかったです。 資料をいろいろお渡しし…
続きを読む
1 / 119
1
2
3
4
5
...
10
20
30
...
次へ
»