院内ブログBlog
院内ブログBlog

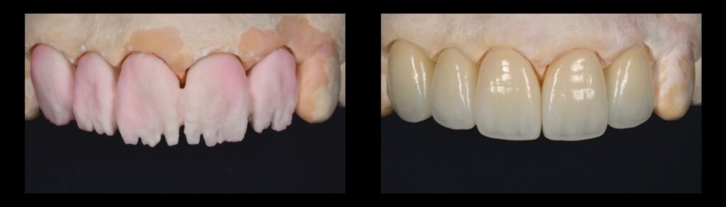
以前、他院で治療した前歯が長いので短くしたい。歯ぐきに違和感がある。
前歯の長さは女性の平均値より2mmほど長く、バランスが取れていませんでした。
そして、前歯のセラミックスは適合が悪く、歯ぐきが耐えられず下がっていました。また、過度に長い補綴物が噛み合わせによって干渉し、歯ぐきにダメージを与えることもあります。

仮歯で最適な前歯の長さを試し、本歯が完成しました。また、当院のセラミックであるヴィーナスクラウンは天然歯に近い摩耗性を有しており、ご自身の生まれ持っての歯を過度に削ることなく同じようにすり減っていくことが出来る優しいオールセラミックスです。

仮歯で前歯の長さを調整して頂いたので、期待通りになりました。
また、歯ぐきの違和感がなくなり、健康的になったと思います。さらにセラミックの色に透明感があり、本当の歯のようで驚きました。
| 主訴 | 前歯が長い。歯ぐきに違和感がある。 |
| 診断名 | 審美障害 |
| 年齢 | 30代女性 |
| 治療方法 | セラミック治療 |
| 抜歯部位 | 非抜歯 |
| 治療期間 | 1ヶ月 |
| 治療費 | 20万円/1本 |
| リスク 副作用 | 治療終了後のメンテナンス不足による歯周病 歯ぎしりや過剰な噛み締めによるセラミックスの破折 |