院内ブログBlog
院内ブログBlog
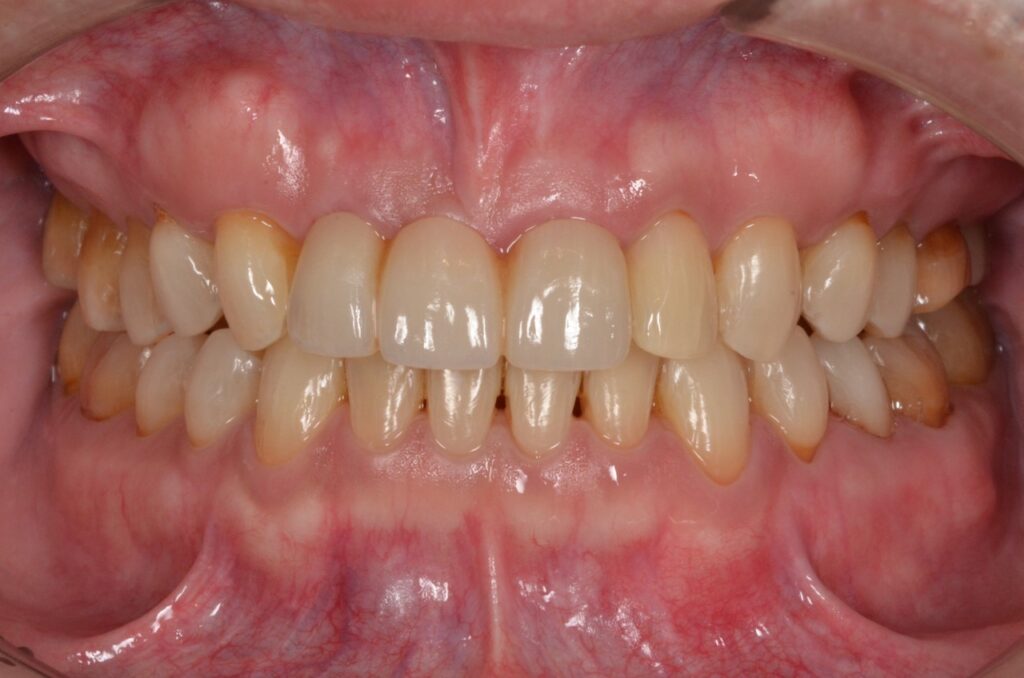
歯の色も歯並びもすべて綺麗にしたい。


まず奥歯の歯並びが交差するように生えており、咀嚼障害や咬合痛を発症していました。正確に素早く改善できるデーモンシステムのワイヤー矯正を行います。
また前歯は失活歯にブリッジタイプのセラミックが入っていましたが、長年の疲労が蓄積されて治療不可能でしたので患者様の同意のもとインプラント治療となりました。



歯並びが揃い、歯の色が白く、とても爽やかな印象になりました。奥歯の歯並びが安定することにより前歯の負担も軽減されバランスの取れたかみ合わせになりました。
インプラント治療に伴い、患者様は20年以上の一日一箱の喫煙をおやめになられました。その甲斐があり骨の中で適正な数値(ISQ・トルク)を発揮できています。今後も禁煙を頑張ってください。
| 主訴 | 綺麗な歯に変えたい |
| 診断名 | 審美障害 不正咬合 咀嚼障害 咬合痛 欠損歯 |
| 年齢 | 40代男性 |
| 治療方法 | インプラント治療 セラミック治療 ワイヤー矯正治療 歯周治療 ホワイトニング 歯周治療 |
| 抜歯部位 | 右上2 左上1,7 |
| 治療期間 | 2年6ヶ月 |
| 治療費 | インプラント治療 50万円/1本(税別) セラミック治療 20万円/1本(税別) ワイヤー矯正治療 125万円 (税別) 歯周治療 23万円(税別) ホワイトニング 6万円(税別) 歯周治療 23万円(税別) |
| リスク 副作用 | 治療終了後のメンテナンス不足による歯周病や インプラント周囲炎 歯ぎしりや過剰な噛み締めによるセラミックスの破折 |