院内ブログBlog

2025.08.18
他院で矯正したが納得いかない2025.8.18

お知らせ

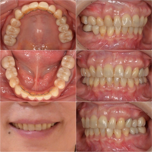
主訴・術前

他院で矯正したが納得いかない

術後の患者様の感想

長い間、治療でお世話になりました。

日に日に歯が綺麗になっていくのがとても嬉しかったです。

また、院長先生やスタッフの皆様の対応がとてもよく感謝しております。

これからもメンテナンスで通いたいと思います。

治療情報

主訴他院で矯正したが納得いかない
診断名叢生、審美障害
年齢50代女性
治療方法セラミック治療・矯正治療
抜歯部位無し
治療期間約2年
治療費セラミック21万円/1本矯正治療125万円(全て税別)
リスク
副作用
      
リテーナー不使用による矯正治療の後戻り歯ぎしりや過剰な噛み締めによるセラミックの破損