院内ブログBlog
院内ブログBlog
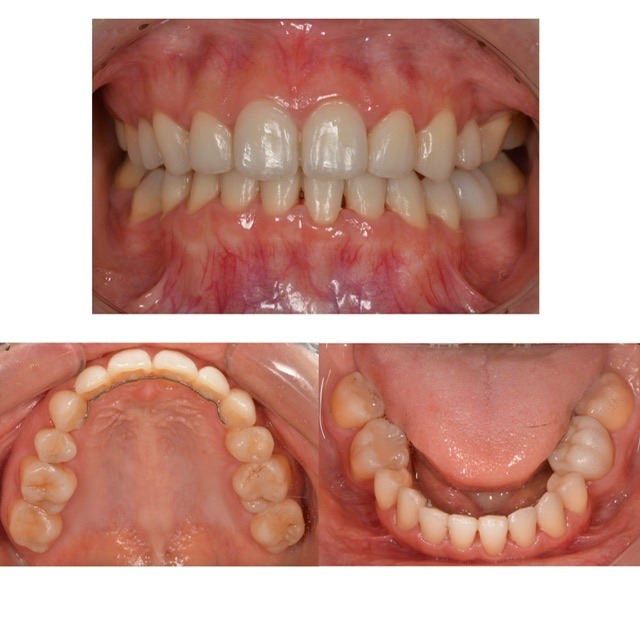
主訴・術前
歯並びを治したい

術後の患者様の感想
いつも丁寧で、親切に対応してくださり感謝しています。
病院というイメージを全く感じないので、快適にくつろぎながら治療できるのでとてもありがたいです。

治療情報
| 主訴 | 歯並びを治したい |
| 診断名 | 叢生 |
| 年齢 | 30代女性 |
| 治療方法 | 矯正治療 セラミック治療 ホワイトニング |
| 抜歯部位 | 左上5,左下E |
| 治療期間 | 2年4ヵ月 |
| 治療費 | 矯正治療125万円 セラミック1本/20万円 ホワイトニング (全て税別) |
| リスク 副作用 | リテーナー不使用による矯正治療の後戻り 歯ぎしりや過剰な噛み締めによるセラミックの破損 |