院内ブログBlog

2025.08.04
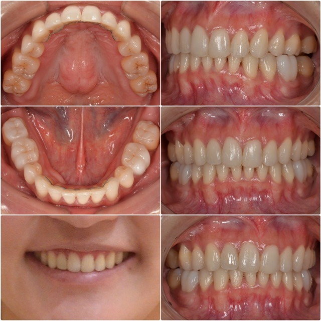
前歯の色と噛み合わせを改善したい2025.8.4

お知らせ

主訴・術前

前歯の色と噛み合わせを改善したい。

術後の患者様の感想

いつもきめ細やかに対応していただき、安心して治療が受けられました。

治療に関しての理想を伝えると、迅速に対応してくださり、理想通りの仕上がりになった事がとても嬉しいです。

慣れない治療の中で不安もたくさんありましたが、スタッフの皆さんのおかげで苦痛にならず通うことができました。

治療情報

主訴前歯の色と噛み合わせを改善したい。
診断名叢生
年齢30代女性
治療方法矯正治療セラミック治療ホワイトニング
抜歯部位非抜歯
治療期間1年3ヵ月
治療費矯正治療125万円セラミック治療20万円/1本ホワイトニング6万円 (全て税別)
リスク
副作用
      
リテーナー不使用による矯正治療の後戻り歯ぎしりや過剰な噛み締めによるセラミックの破損