院内ブログBlog

2025.10.03
メタルフリー、矯正をしたい2025.10.3

お知らせ

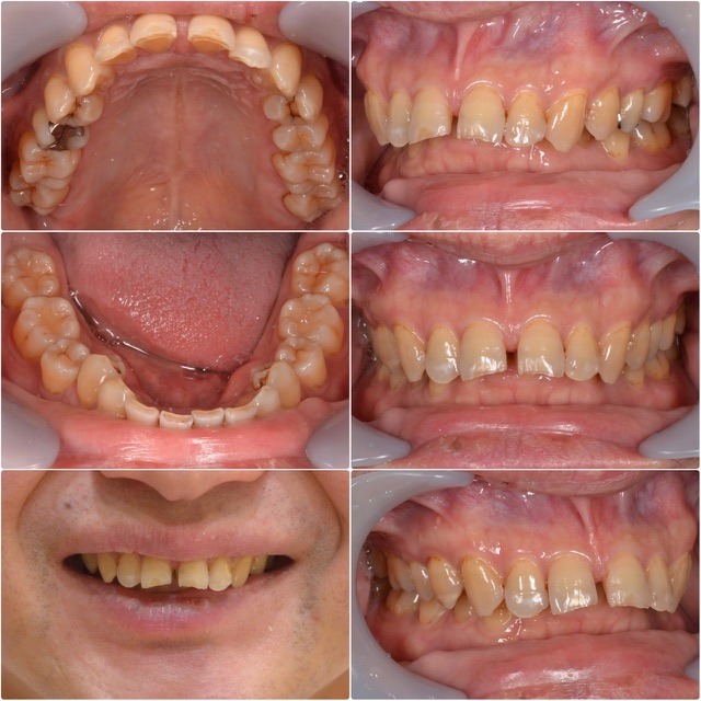
主訴・術前

メタルフリー、矯正をしたい。

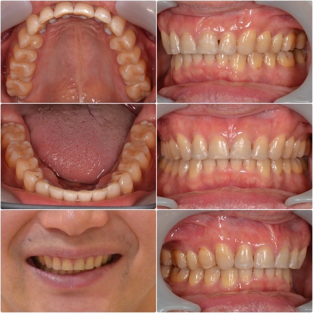
術後の患者様の感想

銀歯をセラミックにしてもらいすっきりしました。

矯正治療は前々からやりたい気持ちはありましたが、今回しっかりと説明していただいて治療をする決心がつきました。やってよかったと思います。

治療情報

主訴メタルフリー、矯正をしたい。
診断名叢生
年齢40代男性
治療方法矯正治療セラミック治療ホワイトニング
抜歯部位非抜歯
治療期間1年1ヵ月
治療費矯正治療125万円セラミック20万円/1本ホワイトニング6万円  (全て税別)
リスク
副作用
      
リテーナー不使用による矯正治療の後戻り治療終了後のメンテナンス不足による歯周病歯ぎしりや過剰な噛み締めによるセラミックの破損