院内ブログBlog
院内ブログBlog
主訴・術前
セラミックをやり直したい

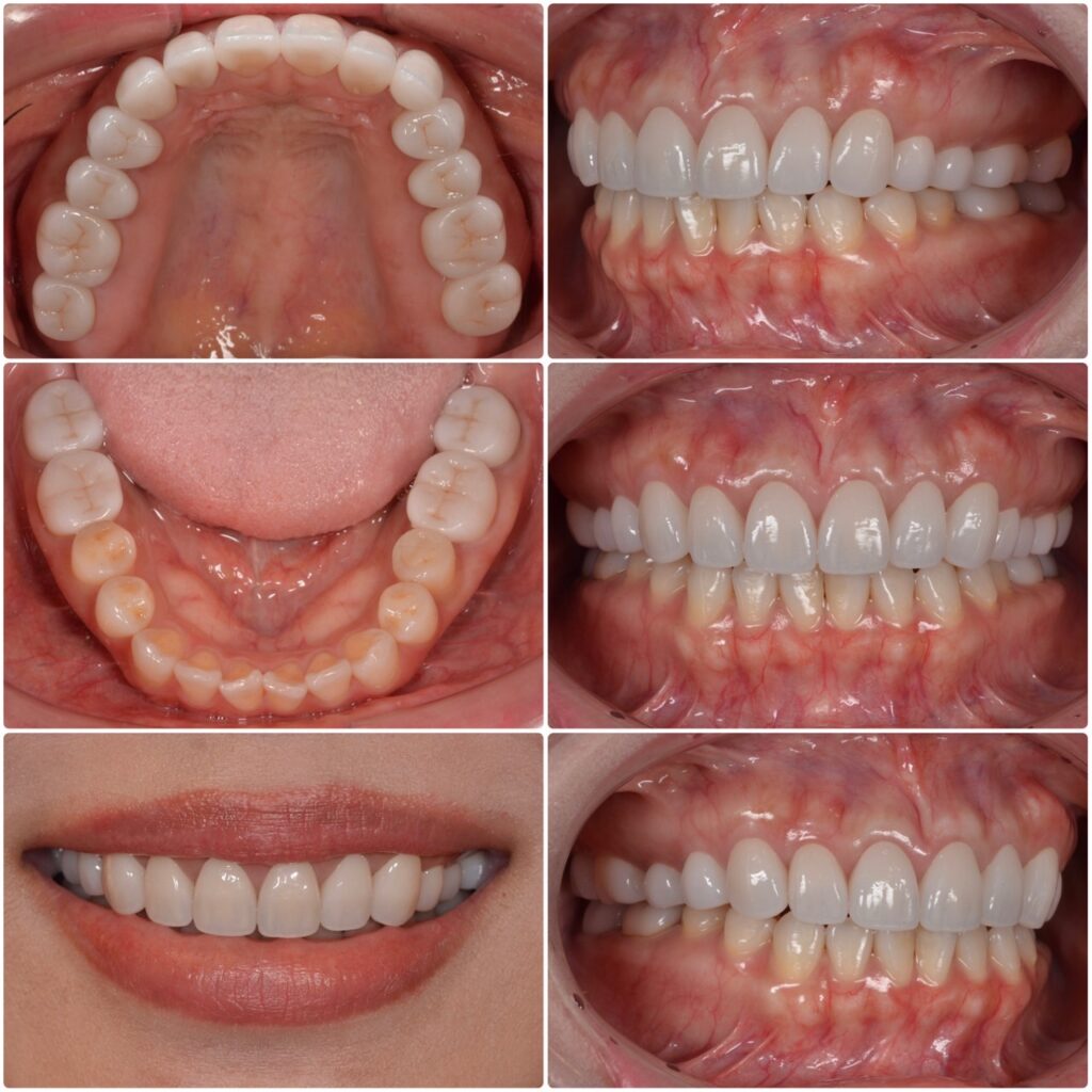
術後の患者様の感想
他院で入れたセラミックをやり直したく、こちらに伺いました。
形や色など、思い描いていた通りの完璧な本歯に感動しました。
私のこだわりを一つ一つ丁寧に聞いて下さり、本当に感謝しています。ありがとうございました。

治療情報
| 主訴 | セラミックをやり直したい |
| 診断名 | 審美障害 |
| 年齢 | 30代女性 |
| 治療方法 | セラミック治療 歯周治療 |
| 抜歯部位 | 非抜歯 |
| 治療期間 | 3ヵ月 |
| 治療費 | セラミック21万円/1本 歯周治療24万円 (全て税別) |
| リスク 副作用 | 治療終了後のメンテナンス不足による歯周病 歯ぎしりや過剰な噛み締めによるセラミックの破損 |