院内ブログBlog

2025.10.06
舌の健康 2025.10.06

お知らせ

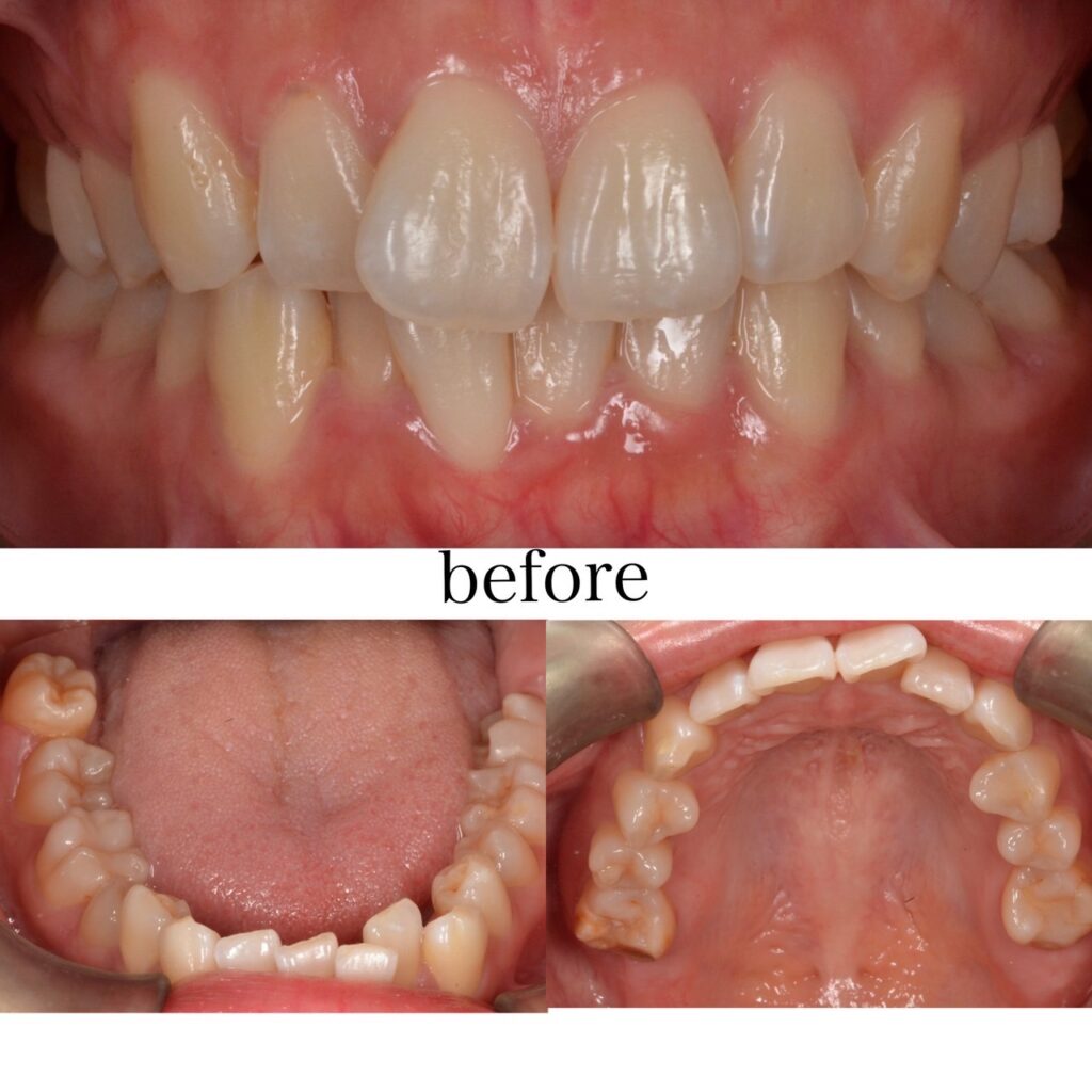
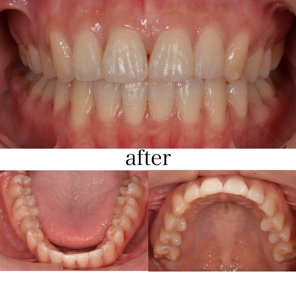
【芸能人に人気の矯正治療】

皆様、こんにちは。

コンシェルジュの早川です。

本日は、味覚の秋を楽しむために、舌の健康についてです。

秋といえば、「食欲の秋」「味覚の秋」。秋刀魚、栗、きのこ、さつまいも、新米…季節ならではの美味しい食材が並ぶこの季節、食べる楽しみがいっそう増しますよね🎶

でも、そんな「味覚の秋」をしっかり楽しむためには “舌の健康” が欠かせません‼️

⭐️舌は味覚のセンサー

舌には「味蕾(みらい)」という味を感じるセンサーがあり、甘味・塩味・酸味・苦味・うま味などを感じ取っています。加齢や体調、そして口腔内の状態によって味覚が鈍くなることもあります。

例えば、

・舌が白っぽくなっている

•ヒリヒリ痛む

•食べ物の味が薄く感じる

•口の中が乾きやすい

こんな症状がある場合、舌や口腔内の健康に何らかの問題があるかもしれません。

⭐️舌の健康をチェックしてみましょう!

以下の項目、いくつ当てはまりますか?

・舌に白い苔(舌苔)がついている

・舌がひび割れている・赤くなっている

・舌が痛い・ピリピリすることがある

・味が分かりにくいと感じる

・口臭が気になる

・口の中が乾く感じがする

1つでも気になる項目があれば、ぜひ一度ご来院ください!

⭐️舌の健康=お口全体の健康

舌のトラブルは、単なる味覚の問題だけではありません。口臭の原因になったり、誤嚥性肺炎のリスクを高めることもあります。

歯や歯ぐきだけでなく、舌も含めたお口全体のケアが、健康寿命を延ばすカギになります!

⭐️舌の健康を保つポイント

1.毎日の舌ケア

やさしく舌をブラッシングして、舌苔を除去しましょう(強く磨きすぎると逆効果です)

2.バランスのよい食生活

ビタミンB群や亜鉛は味覚の維持に重要です。

(豚肉、レバー、納豆など…)

3.口の中を潤す

こまめな水分補給や唾液腺マッサージで乾燥を防ぎましょう。

4.定期的な歯科検診

口腔内トラブルの早期発見・早期治療が大切です。

秋の味覚を心から楽しむためにも、この機会に「舌の健康」を見直してみましょう。

気になる症状があれば、お気軽にご相談くださいね🦷✨

皆さまの豊かな“味覚の秋”をサポートいたします!