院内ブログBlog
院内ブログBlog
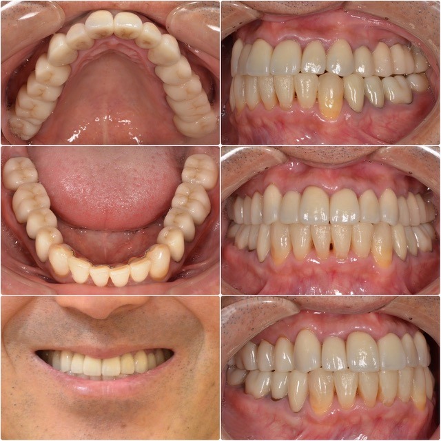
主訴・術前
歯並びを改善したい

術後の患者様の感想
気になっていた歯並びを改善することができたのでとても満足しています。
銀歯が多く、そこも気になっていましたがセラミックにできたので銀歯の存在も気にすることなく過ごすことができています。
食事も歯並びが悪いころに比べ楽になりました。また、食事が楽しくなり、笑顔になることも増えてきたと思います。

治療情報
| 主訴 | 歯並びを改善したい |
| 診断名 | 叢生 |
| 年齢 | 50代男性 |
| 治療方法 | ワイヤー矯正セラミック治療 |
| 抜歯部位 | 非抜歯 |
| 治療期間 | 2年 |
| 治療費 | ワイヤー矯正 125万円セラミック治療 20万円 (全て税別) |
| リスク 副作用 | リテーナー不使用による矯正治療の後戻り治療終了後のメンテナンス不足による歯周病歯ぎしりや過剰な噛み締めによるセラミックの破損 |