院内ブログBlog
院内ブログBlog
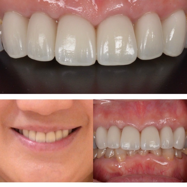
主訴・術前
前歯に納得のいくセラミックを入れたい

術後の患者様の感想
自分の理想の歯があったので先生方にわかっていただけるか不安でしたが、審美的な面でもアドバイスを下さり納得のいくものができたのでとてもよかったです。
資料をいろいろお渡しして理想の歯に近づけていただけたので院長先生をはじめ歯科技工士の方も一緒に考えてくださったので良かったです。

治療情報
| 主訴 | 前歯に納得のいくセラミックを入れたい |
| 診断名 | 審美障害 |
| 年齢 | 50代女性 |
| 治療方法 | セラミック治療 ホワイトニング |
| 抜歯部位 | 非抜歯 |
| 治療期間 | 2か月 |
| 治療費 | セラミック治療 21万/1本 ホワイトニング 7万円 |
| リスク 副作用 | 歯ぎしりや過剰な噛み締めによるセラミックの破損 |