院内ブログBlog

2025.10.31
セラミックをやり直したい2025.10.31

お知らせ

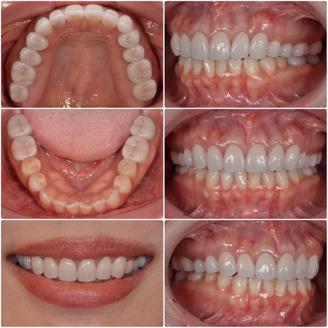
主訴・術前

セラミックをやり直したい

術後の患者様の感想

他院で入れたセラミックをやり直したく、こちらに伺いました。

形や色など、思い描いていた通りの完璧な本歯に感動しました。

私のこだわりを一つ一つ丁寧に聞いて下さり、本当に感謝しています。ありがとうございました

治療情報

主訴セラミックをやり直したい
診断名審美障害
年齢30代女性
治療方法セラミック治療歯周治療
抜歯部位非抜歯
治療期間3ヵ月
治療費セラミック21万円/1本歯周治療24万円 (全て税別)
リスク
副作用
      
治療終了後のメンテナンス不足による歯周病歯ぎしりや過剰な噛み締めによるセラミックの破損