院内ブログBlog
院内ブログBlog
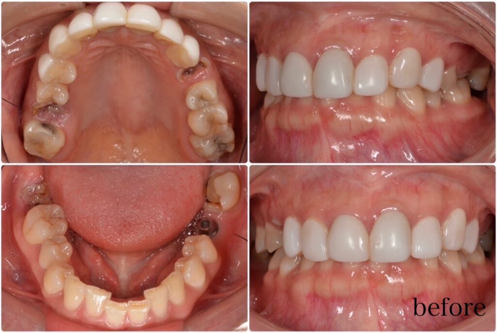
【セレブに好評のセラミック治療】
皆様こんにちは。
コンシェルジュの早川です。
本日は、
~ホワイトニングで透明感ケア~についてです。
冬は空気が澄み、ファッションやメイクも落ち着いたトーンになる季節、そんな季節だからこそ、歯の白さが際立ち、清潔感や上品さを印象づける大切なポイントになります。
口元に透明感があるだけで、全体の印象が明るく見え、笑顔にも自然な華やかさが生まれます。
ホワイトニングは、歯の表面を削ることなく、内部に沈着した色素を分解して自然な白さへ導くケアです。正しい方法で行えば歯に優しく、安全に透明感のある仕上がりを目指すことができます。
当院では、短時間で効果を実感できるオフィスホワイトニング・ご自宅でじっくりケアできるホームホワイトニングの2種類がございます。それぞれにメリットがあり、生活リズムやご希望の白さに合わせてお選びいただけます。両方を併用することも可能です。
ホワイトニング後は、歯のツヤと透明感が増し、光を反射するような美しい仕上がりになります。写真映えする笑顔や、清潔感のある印象を求める方に特に人気の高い施術です。
施術前には歯の状態を丁寧に確認し、しみやすさなども考慮したうえで最適な方法をご提案いたしますので安心してご相談ください。
この冬、透き通るような白い歯で、自信に満ちた笑顔を手に入れましょう😁✨✨🦷

