院内ブログBlog

2025.08.18
虫歯が痛い。前歯を綺麗にしたい。30代女性 2025.8.18

お知らせ

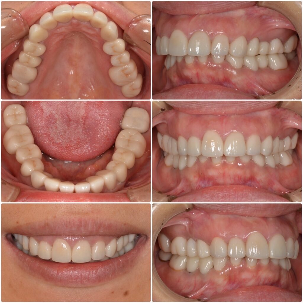
主訴・術前

虫歯が痛い。前歯を綺麗にしたい。

術後の患者様の感想

前歯の出具合は他の歯科医院では外科で骨を削らないと治らないといわれましたが、通常の治療のみで、こんなにも綺麗になり本当に嬉しいです。人前で自信をもって笑えます。

また嫌な臭いがしなくなったり、銀歯を外して仮歯になった頃から体が軽く肌も綺麗になった気がします。

↑治療後

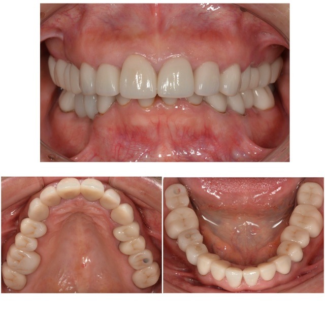
↑治療6年後

治療情報

主訴虫歯が痛い。前歯を綺麗にしたい。
診断名審美障害
年齢30代女性
治療方法セラミック治療
歯周治療
抜歯部位非抜歯
治療期間3ヵ月
治療費セラミック20万円/1本
歯周治療23万円 (全て税別)
リスク
副作用
      
治療終了後のメンテナンス不足による歯周病
歯ぎしりや過剰な噛み締めによるセラミックの破損